
HRP Conjugated Goat anti-Mouse IgG polyclonal Antibody
Goat Polyclonal Antibody
Mouse IgG (H+L).
To minimize cross-reactivity, the HRP conjugated goat anti-mouse IgG (H+L) antibodies have been highly cross-adsorbed against human IgG.
Mouse
WB, ELISA, IHC-P
HRP
Liquid
2ug/ul
Store at +4℃ after thawing. Aliquot store at -20℃. Avoid repeated freeze / thaw cycles.
1*TBS (pH7.4), 0.5%BSA, 40% Glycerol.
IgG
Immunogen affinity purified.
WB
1:20,000- 1:80,000
ELISA
1:5,000-1:10000
IHC-P
1:50-1:100
| Mouse | 查看 99 篇文献如下 |
| Human | 查看 76 篇文献如下 |
| Rat | 查看 14 篇文献如下 |
Whole IgG antibodies are isolated as intact molecules from antisera by immunoaffinity chromatography. They have an Fc portion and two antigen binding Fab portions joined together by disulfide bonds and therefore they are divalent. The average molecular weight is reported to be about 160 kDa. The whole IgG form of antibodies is suitable for the majority of immunodetection procedures and is the most cost effective. Horseradish peroxidase (HRP) conjugates are prepared by a modified Nakane and Kawaoi procedure (J. Histochem. Cytochem. 1974. 22, 1084). Peroxidase conjugates are commonly used for immunohistochemistry, Western blotting, and ELISA. Affinity-purified anti-horseradish peroxidase and conjugates are available for detection of horseradish peroxidase antigen or for signal amplification of HRP-containing reagents. For immunostaining of mammalian cells, an advantage of using anti-horseradish peroxidase is reduced background, since the antibody does not recognize the endogenous peroxidase-like enzymes found in those cells.
暂无

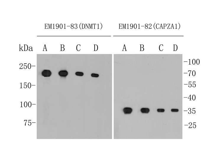
Western blot analysis of mouse anti-DNMT1 antibody (EM1901-83,1/500) and mouse anti-CAPZA1 antibody (EM1901-82, 1/500) with Daudi Cell and K562 Cell lysates (All lanes proteins at 10 µg per lane). Proteins were transferred to a PVDF membrane and blocked with 5% BSA in PBS for 1 hour at room temperature. The primary antibody was used in 5% BSA at room temperature for 2 hours. Goat anti-mouse IgG -HRP) (HA1006) was used for 1 hour at room temperature at 1:10,000 (Lane A), 1:20,000 (Lane B), 1:40,000 (Lane C) and 1:80,000 (Lane D).
Exposure time: 60 seconds

The Cross-reactions of the secondary antibody (HA1006) with Rabbit IgG and Human IgG.
Proteins were transferred to a PVDF membrane and blocked with 5% BSA in PBS for 1 hour at room temperature. Goat anti-mouse IgG -HRP (HA1006) was used for 1 hour at room temperature at 1:5,000 (Lane A) and 1:10,000 (Lane B).
Exposure time: 2 minutes
Melatonin attenuates inflammatory bone loss by alleviating mitophagy and lactate production
Author: Lin Zexin, Gu Yuan, Liu Yingsong, Chen Zilin, Fang Shuai, Wang Zhuan, Liu Zixian, Lin Qingrong, Hu Yanjun, Jiang Nan, Yu Bin, Liu Guanqiao
PMID: 40064756
期刊: Apoptosis
应用: IHC
反应种属: Mouse
发表时间: 2025 Mar
Copyright © 广州杰特伟生物科技有限公司 All Rights Reserved. 备案号:粤ICP备19077843号