HRP Conjugated Goat anti-Mouse IgG UltraPolymer Antibody
货号:HA1120
一键复制产品信息
价格:
600.00
规格:
5ml
10ml
50ml
100ml
货期:
1-3天
请注意: All products are "FOR RESEARCH USE ONLY AND ARE NOT INTENDED FOR DIAGNOSTIC OR THERAPEUTIC USE"
Details
产品详情
  • 概述

    产品名称

    HRP Conjugated Goat anti-Mouse IgG UltraPolymer Antibody

    抗体类型

    Goat Polyclonal Antibody

    免疫原

    Purified Mouse IgG, whole molecule

    种属反应性

    Mouse

    验证应用

    IHC-P

    偶联

    HRP

    产品特性

    形态

    Liquid

    浓度

    readytouse

    存放说明

    Store at 2-8 ℃.

    存储缓冲液

    TBS, 1% (w/v) BSA, 0.1% Proclin 150, 10% heat-inactivated animal serum.

    亚型

    IgG

    纯化方式

    Affinity purified using solid phase Mouse IgG.

    应用稀释度


    • IHC-P

    • Ready to Use

    发表文章中的应用

    发表文章中的种属

    靶点

    功能

    Whole IgG antibodies are isolated as intact molecules from antisera by immunoaffinity chromatography. They have an Fc portion and two antigen binding Fab portions joined together by disulfide bonds and therefore they are divalent. The average molecular weight is reported to be about 160 kDa. The whole IgG form of antibodies is suitable for the majority of immunodetection procedures and is the most cost effective. Horseradish peroxidase (HRP) conjugates are prepared by a modified Nakane and Kawaoi procedure (J. Histochem. Cytochem. 1974. 22, 1084). Peroxidase conjugates are commonly used for immunohistochemistry, Western blotting, and ELISA. Affinity-purified anti-horseradish peroxidase and conjugates are available for detection of horseradish peroxidase antigen or for signal amplification of HRP-containing reagents. For immunostaining of mammalian cells, an advantage of using anti-horseradish peroxidase is reduced background, since the antibody does not recognize the endogenous peroxidase-like enzymes found in those cells. UltraPolymer Goat anti-Mouse IgG (H&L) conjugated to HRP, affinity purified, min x w/ bovine, horse, human, pig or rabbit serum proteins.

    背景文献

    暂无

    图片


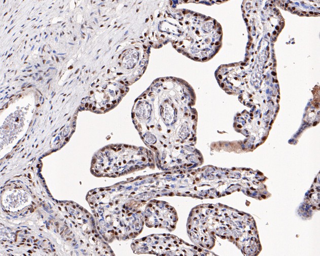
    • Immunohistochemical analysis of paraffin-embedded human placenta tissue using anti-MSH2 antibody. The section was pre-treated using heat mediated antigen retrieval with sodium citrate buffer (pH 6.0) for 20 mins. The detection was performed using an Goat anti-Mouse IgG (H&L) - HRP (<a href=

      Immunohistochemical analysis of paraffin-embedded human placenta tissue using anti-MSH2 antibody. The section was pre-treated using heat mediated antigen retrieval with sodium citrate buffer (pH 6.0) for 20 mins. The detection was performed using an Goat anti-Mouse IgG (H&L) - HRP (HA1120). Counter stained with hematoxylin.


    • Analysis of HeLa cells labeling p16 with Mouse anti-p16 antibody (<a href=

      Analysis of HeLa cells labeling p16 with Mouse anti-p16 antibody (HA601131) at 1/200 dilution.

      Cells were fixed in 4% paraformaldehyde for 15 minutes at room temperature, permeabilized with 0.1% Triton X-100 in PBS for 15 minutes at room temperature, then blocked with 1% BSA in 10% negative goat serum for 1 hour at room temperature. Cells were then incubated with Mouse anti-p16 antibody (HA601131) at 1/200 dilution in 1% BSA in PBST overnight at 4 ℃. The detection was performed using an Goat anti-Mouse IgG (H&L) - HRP (HA11


Published literature
已发表文献
  • Inhibition of YAP reverses primary resistance to EGFR inhibitors in colorectal cancer cells

    Author: Bi‑Sheng Liu, Hong‑Wei Xia, Sheng Zhou, Qing Liu, Qiu‑Lin Tang, Na‑Xi Bi, Ji‑Tao Zhou, Qi‑Yong Gong, Yong‑Zhan Nie, Feng Bi

    PMID: 30106444

    期刊: Oncology Reports

    应用: WB

     

    反应种属: Human,Mouse

     

    发表时间: 2018 Aug

    http://pubmed.ncbi.nlm.nih.gov/30106444/

Copyright © 广州杰特伟生物科技有限公司 All Rights Reserved. 备案号:粤ICP备19077843号

  • 首页
  • 电话
  • 咨询
  • 顶部