Ki67 Recombinant Rabbit Monoclonal Antibody [SR00-02]
货号:HA721115
一键复制产品信息
价格:
1500.00
规格:
50ul
100ul
货期:
1-3天
请注意: All products are "FOR RESEARCH USE ONLY AND ARE NOT INTENDED FOR DIAGNOSTIC OR THERAPEUTIC USE"
Details
产品详情
  • HA721115

    概述

    产品名称

    Ki67 Recombinant Rabbit Monoclonal Antibody [SR00-02]

    抗体类型

    Recombinant Rabbit monoclonal Antibody

    免疫原

    Synthetic peptide within human Ki67 aa 1,040-1,080.

    种属反应性

    Human, Mouse, Rat (Predicted: Cynomolgus monkey)

     

    验证应用

    IHC-P, IF-Tissue, mIHC, IF-Cell, FC, IHC-Fr

    分子量

    Predicted band size: 345-395 kDa

    阳性对照

    Human tonsil tissue, human lymph nodes tissue, human cervical carcinoma tissue, human colon carcinoma tissue, mouse spleen tissue, mouse intestinal tissue, mouse ovary tissue, rat thymus tissue, human gastric cancer, HeLa.

    偶联

    unconjugated

    克隆号

    SR00-02

    产品特性

    形态

    Liquid

    浓度

    1ug/ul

    存放说明

    Store at +4℃ after thawing. Aliquot store at -20℃. Avoid repeated freeze / thaw cycles.

    存储缓冲液

    PBS (pH7.4), 0.05% BSA, 40% Glycerol. Preservative: 0.05% Sodium Azide.

    亚型

    IgG

    纯化方式

    Protein A affinity purified.

    应用稀释度


    • IHC-P

    • 1:5,000-1:15,000


    • IF-Tissue

    • 1:500


    • mIHC

    • 1:2,000-1:3,000


    • IF-Cell

    • 1:100-1:250


    • FC

    • 1:500-1:1,000


    • IHC-Fr

    • 1:500-1:1,000

    靶点

    功能

    The Ki-67 protein is a nuclear protein doublet, 345-395 kDa, playing a pivotal role in maintaining cell proliferation. Ki-67 is present in all non-G0 phases of the cell cycle. Beginning in the mid G1, the level increases through S and G2 to reach a peak in M. In the end of M, is is rapidly catabolized. The Ki-67 labelling index (LI), i.e., the percentage of cells in a tissue staining for Ki-67, indicates the growth fraction. For many tumours, the rate of cell proliferation as assessed by Ki-67 immunoreactivity correlates with tumour grade and clinical course. In Non-Hodgkin lymphoma a labelling index of less than 20% is seen in low grade lymphomas, greater than 20% is associated with high grade lymphomas. Low grade lymphomas with a labelling index in excess of 5% have a worse prognosis than those with an index of less than 5%. In Burkitt and Burkitt-like lymphoma, nearly 100% of the nuclei are stained. This can be used as a diagnostic criterion. In gliomas the indices ranges from 0% to 5% for low grade astrocytomas while anaplastic astrocytomas and glioblastomas most frequently show an index above 10%. In soft tissue sarcomas Ki-67 index is positively correlated with mitotic count, cellularity and histological grade. In some benign tumours, like meningioma, a high LI is associated with a high recurrence rate. In dysplasia in Barrett's oesophagus and in granulosa cell tumours and ovarian serous tumours, Ki-67 LI is associated with progression. In the former, reproducibility of dysplasia grading is improved when Ki67 is included. In breast cancer, the proliferative index measured by Ki67 immunoreactivity has both prognostic and predictive value.

    背景文献

    1. Cuylen S. et al. Ki-67 acts as a biological surfactant to disperse mitotic chromosomes. Nature 535:308-312(2016).

    2. Booth D.G. et al. Ki-67 is a PP1-interacting protein that organises the mitotic chromosome periphery. Elife 3:E01641-E01641(2014).

    亚细胞定位

    Nucleus, Chromosome.

    别名

    Antigen identified by monoclonal antibody Ki 67 antibody

    Antigen identified by monoclonal antibody Ki-67 antibody

    Antigen KI-67 antibody

    Antigen KI67 antibody

    Antigen Ki67 antibody

    KI67_HUMAN antibody

    KIA antibody

    Marker of proliferation Ki-67 antibody

    MIB 1 antibody

    MIB antibody

    展开

    图片


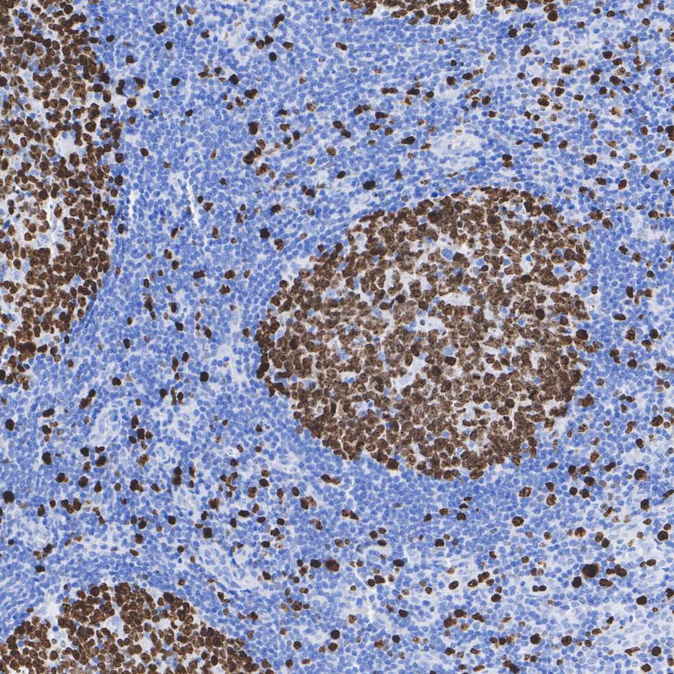
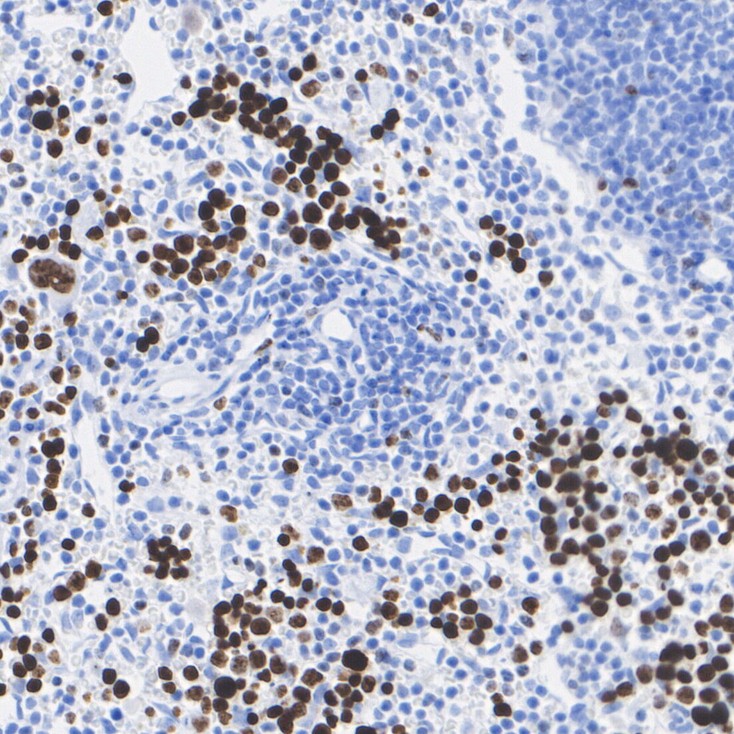
    • Immunohistochemical analysis of paraffin-embedded human tonsil tissue with Rabbit anti-Ki67 antibody (<a href="/products/HA721115" style="font-weight: bold;text-decoration: underline;">HA721115</a>) at 1/15,000 dilution.<br /><br />The section was pre-treated using heat mediated antigen retrieval with sodium citrate buffer (pH 6.0) for 2 minutes. The tissues were blocked in 1% BSA for 20 minutes at room temperature, washed with ddH<sub>2</sub>O and PBS, and then probed with the primary antibody (<a href="/products/HA721115" style="font-weight: bold;text-decoration: underline;">HA721115</a>) at 1/15,000 dilution for 1 hour at room temperature. The detection was performed using an HRP conjugated compact polymer system. DAB was used as the chromogen. Tissues were counterstained with hematoxylin and mounted with DPX.

      Immunohistochemical analysis of paraffin-embedded human tonsil tissue with Rabbit anti-Ki67 antibody (HA721115) at 1/15,000 dilution.

      The section was pre-treated using heat mediated antigen retrieval with sodium citrate buffer (pH 6.0) for 2 minutes. The tissues were blocked in 1% BSA for 20 minutes at room temperature, washed with ddH2O and PBS, and then probed with the primary antibody (HA721115) at 1/15,000 dilution for 1 hour at room temperature. The detection was performed using an HRP conjugated compact polymer system. DAB was used as the chromogen. Tissues were counterstained with hematoxylin and mounted with DPX.


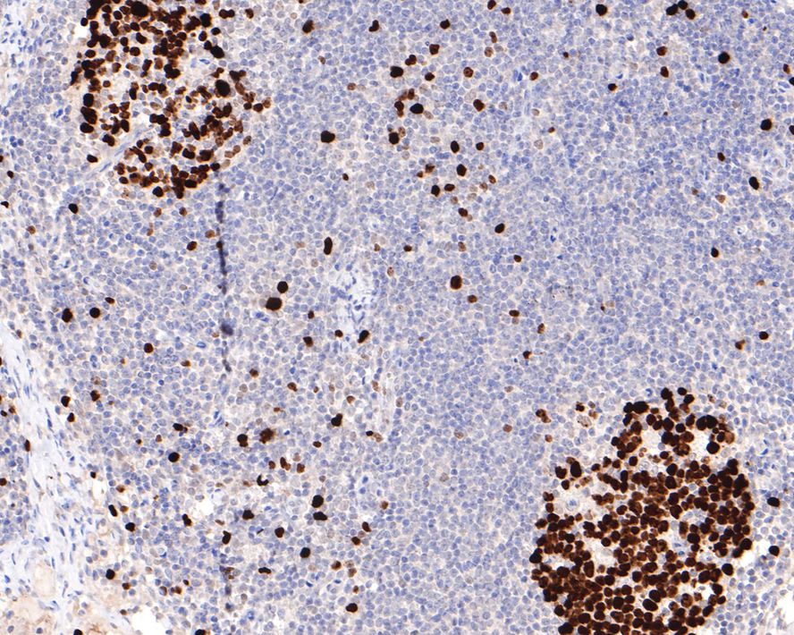
    • Immunohistochemical analysis of paraffin-embedded human lymph nodes tissue with Rabbit anti-Ki67 antibody (<a href="/products/HA721115" style="font-weight: bold;text-decoration: underline;">HA721115</a>) at 1/15,000 dilution.<br /><br />The section was pre-treated using heat mediated antigen retrieval with sodium citrate buffer (pH 6.0) for 2 minutes. The tissues were blocked in 1% BSA for 20 minutes at room temperature, washed with ddH<sub>2</sub>O and PBS, and then probed with the primary antibody (<a href="/products/HA721115" style="font-weight: bold;text-decoration: underline;">HA721115</a>) at 1/15,000 dilution for 1 hour at room temperature. The detection was performed using an HRP conjugated compact polymer system. DAB was used as the chromogen. Tissues were counterstained with hematoxylin and mounted with DPX.

      Immunohistochemical analysis of paraffin-embedded human lymph nodes tissue with Rabbit anti-Ki67 antibody (HA721115) at 1/15,000 dilution.

      The section was pre-treated using heat mediated antigen retrieval with sodium citrate buffer (pH 6.0) for 2 minutes. The tissues were blocked in 1% BSA for 20 minutes at room temperature, washed with ddH2O and PBS, and then probed with the primary antibody (HA721115) at 1/15,000 dilution for 1 hour at room temperature. The detection was performed using an HRP conjugated compact polymer system. DAB was used as the chromogen. Tissues were counterstained with hematoxylin and mounted with DPX.


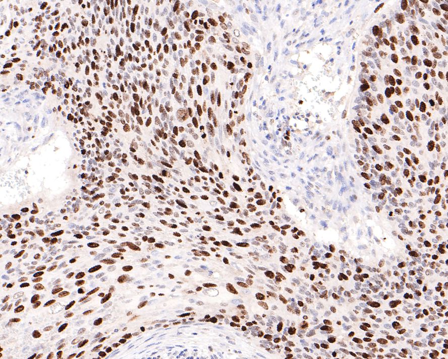
    • Immunohistochemical analysis of paraffin-embedded human cervical carcinoma tissue with Rabbit anti-Ki67 antibody (<a href="/products/HA721115" style="font-weight: bold;text-decoration: underline;">HA721115</a>) at 1/15,000 dilution.<br /><br />The section was pre-treated using heat mediated antigen retrieval with sodium citrate buffer (pH 6.0) for 2 minutes. The tissues were blocked in 1% BSA for 20 minutes at room temperature, washed with ddH<sub>2</sub>O and PBS, and then probed with the primary antibody (<a href="/products/HA721115" style="font-weight: bold;text-decoration: underline;">HA721115</a>) at 1/15,000 dilution for 1 hour at room temperature. The detection was performed using an HRP conjugated compact polymer system. DAB was used as the chromogen. Tissues were counterstained with hematoxylin and mounted with DPX.

      Immunohistochemical analysis of paraffin-embedded human cervical carcinoma tissue with Rabbit anti-Ki67 antibody (HA721115) at 1/15,000 dilution.

      The section was pre-treated using heat mediated antigen retrieval with sodium citrate buffer (pH 6.0) for 2 minutes. The tissues were blocked in 1% BSA for 20 minutes at room temperature, washed with ddH2O and PBS, and then probed with the primary antibody (HA721115) at 1/15,000 dilution for 1 hour at room temperature. The detection was performed using an HRP conjugated compact polymer system. DAB was used as the chromogen. Tissues were counterstained with hematoxylin and mounted with DPX.


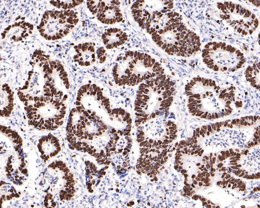
    • Immunohistochemical analysis of paraffin-embedded human colon carcinoma tissue with Rabbit anti-Ki67 antibody (<a href="/products/HA721115" style="font-weight: bold;text-decoration: underline;">HA721115</a>) at 1/15,000 dilution.<br /><br />The section was pre-treated using heat mediated antigen retrieval with sodium citrate buffer (pH 6.0) for 2 minutes. The tissues were blocked in 1% BSA for 20 minutes at room temperature, washed with ddH<sub>2</sub>O and PBS, and then probed with the primary antibody (<a href="/products/HA721115" style="font-weight: bold;text-decoration: underline;">HA721115</a>) at 1/15,000 dilution for 1 hour at room temperature. The detection was performed using an HRP conjugated compact polymer system. DAB was used as the chromogen. Tissues were counterstained with hematoxylin and mounted with DPX.

      Immunohistochemical analysis of paraffin-embedded human colon carcinoma tissue with Rabbit anti-Ki67 antibody (HA721115) at 1/15,000 dilution.

      The section was pre-treated using heat mediated antigen retrieval with sodium citrate buffer (pH 6.0) for 2 minutes. The tissues were blocked in 1% BSA for 20 minutes at room temperature, washed with ddH2O and PBS, and then probed with the primary antibody (HA721115) at 1/15,000 dilution for 1 hour at room temperature. The detection was performed using an HRP conjugated compact polymer system. DAB was used as the chromogen. Tissues were counterstained with hematoxylin and mounted with DPX.


    • Immunohistochemical analysis of paraffin-embedded mouse spleen tissue with Rabbit anti-Ki67 antibody (<a href="/products/HA721115" style="font-weight: bold;text-decoration: underline;">HA721115</a>) at 1/15,000 dilution.<br /><br />The section was pre-treated using heat mediated antigen retrieval with sodium citrate buffer (pH 6.0) for 2 minutes. The tissues were blocked in 1% BSA for 20 minutes at room temperature, washed with ddH<sub>2</sub>O and PBS, and then probed with the primary antibody (<a href="/products/HA721115" style="font-weight: bold;text-decoration: underline;">HA721115</a>) at 1/15,000 dilution for 1 hour at room temperature. The detection was performed using an HRP conjugated compact polymer system. DAB was used as the chromogen. Tissues were counterstained with hematoxylin and mounted with DPX.

      Immunohistochemical analysis of paraffin-embedded mouse spleen tissue with Rabbit anti-Ki67 antibody (HA721115) at 1/15,000 dilution.

      The section was pre-treated using heat mediated antigen retrieval with sodium citrate buffer (pH 6.0) for 2 minutes. The tissues were blocked in 1% BSA for 20 minutes at room temperature, washed with ddH2O and PBS, and then probed with the primary antibody (HA721115) at 1/15,000 dilution for 1 hour at room temperature. The detection was performed using an HRP conjugated compact polymer system. DAB was used as the chromogen. Tissues were counterstained with hematoxylin and mounted with DPX.


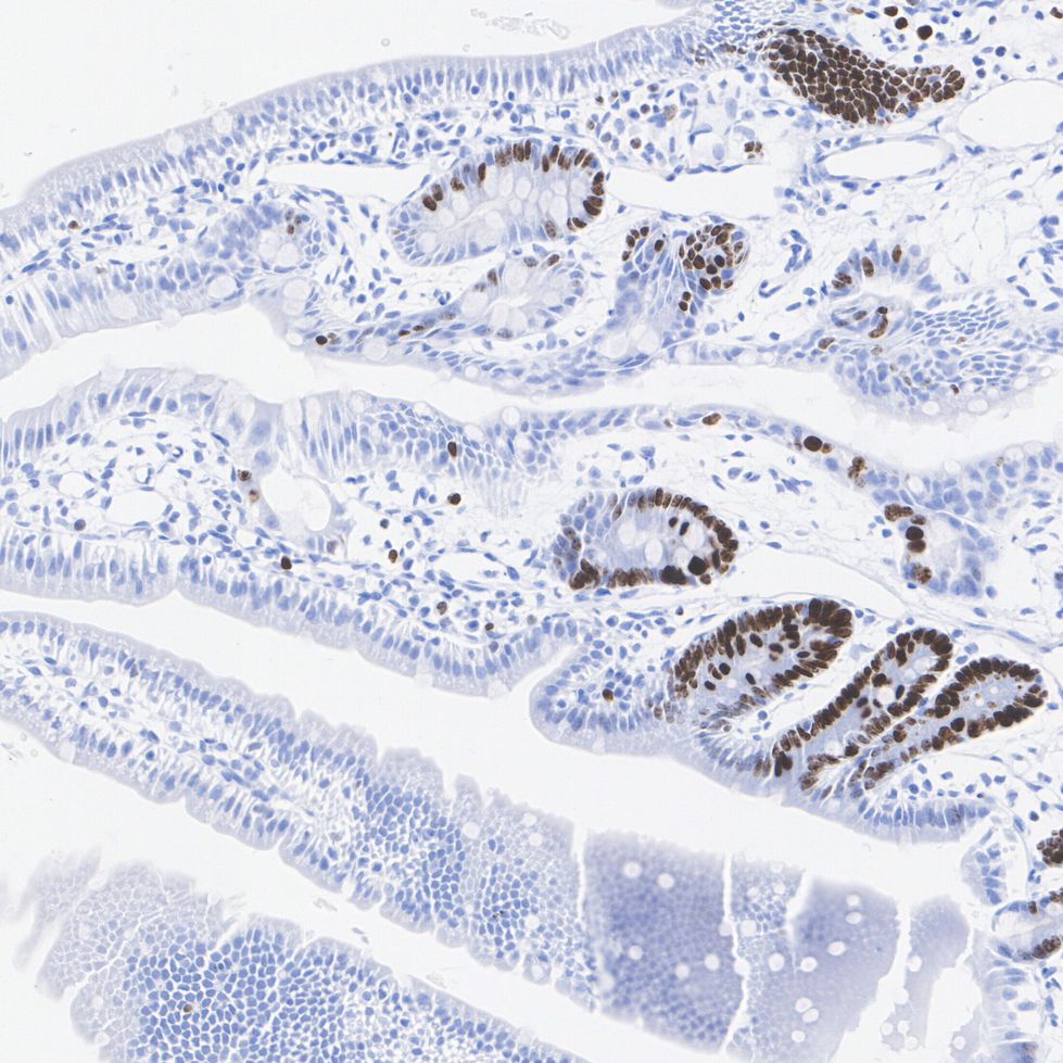
    • Immunohistochemical analysis of paraffin-embedded mouse small intestine tissue with Rabbit anti-Ki67 antibody (<a href="/products/HA721115" style="font-weight: bold;text-decoration: underline;">HA721115</a>) at 1/15,000 dilution.<br /><br />The section was pre-treated using heat mediated antigen retrieval with sodium citrate buffer (pH 6.0) for 2 minutes. The tissues were blocked in 1% BSA for 20 minutes at room temperature, washed with ddH<sub>2</sub>O and PBS, and then probed with the primary antibody (<a href="/products/HA721115" style="font-weight: bold;text-decoration: underline;">HA721115</a>) at 1/15,000 dilution for 1 hour at room temperature. The detection was performed using an HRP conjugated compact polymer system. DAB was used as the chromogen. Tissues were counterstained with hematoxylin and mounted with DPX.

      Immunohistochemical analysis of paraffin-embedded mouse small intestine tissue with Rabbit anti-Ki67 antibody (HA721115) at 1/15,000 dilution.

      The section was pre-treated using heat mediated antigen retrieval with sodium citrate buffer (pH 6.0) for 2 minutes. The tissues were blocked in 1% BSA for 20 minutes at room temperature, washed with ddH2O and PBS, and then probed with the primary antibody (HA721115) at 1/15,000 dilution for 1 hour at room temperature. The detection was performed using an HRP conjugated compact polymer system. DAB was used as the chromogen. Tissues were counterstained with hematoxylin and mounted with DPX.


    • Immunohistochemical analysis of paraffin-embedded mouse ovary tissue with Rabbit anti-Ki67 antibody (<a href="/products/HA721115" style="font-weight: bold;text-decoration: underline;">HA721115</a>) at 1/5,300 dilution.<br /><br />The section was pre-treated using heat mediated antigen retrieval with sodium citrate buffer (pH 6.0) for 2 minutes. The tissues were blocked in 1% BSA for 20 minutes at room temperature, washed with ddH<sub>2</sub>O and PBS, and then probed with the primary antibody (<a href="/products/HA721115" style="font-weight: bold;text-decoration: underline;">HA721115</a>) at 1/5,300 dilution for 1 hour at room temperature. The detection was performed using an HRP conjugated compact polymer system. DAB was used as the chromogen. Tissues were counterstained with hematoxylin and mounted with DPX.

      Immunohistochemical analysis of paraffin-embedded mouse ovary tissue with Rabbit anti-Ki67 antibody (HA721115) at 1/5,300 dilution.

      The section was pre-treated using heat mediated antigen retrieval with sodium citrate buffer (pH 6.0) for 2 minutes. The tissues were blocked in 1% BSA for 20 minutes at room temperature, washed with ddH2O and PBS, and then probed with the primary antibody (HA721115) at 1/5,300 dilution for 1 hour at room temperature. The detection was performed using an HRP conjugated compact polymer system. DAB was used as the chromogen. Tissues were counterstained with hematoxylin and mounted with DPX.


    • Immunohistochemical analysis of paraffin-embedded rat thymus tissue with Rabbit anti-Ki67 antibody (<a href="/products/HA721115" style="font-weight: bold;text-decoration: underline;">HA721115</a>) at 1/8,000 dilution.<br /><br />The section was pre-treated using heat mediated antigen retrieval with sodium citrate buffer (pH 6.0) for 2 minutes. The tissues were blocked in 1% BSA for 20 minutes at room temperature, washed with ddH<sub>2</sub>O and PBS, and then probed with the primary antibody (<a href="/products/HA721115" style="font-weight: bold;text-decoration: underline;">HA721115</a>) at 1/8,000 dilution for 1 hour at room temperature. The detection was performed using an HRP conjugated compact polymer system. DAB was used as the chromogen. Tissues were counterstained with hematoxylin and mounted with DPX.

      Immunohistochemical analysis of paraffin-embedded rat thymus tissue with Rabbit anti-Ki67 antibody (HA721115) at 1/8,000 dilution.

      The section was pre-treated using heat mediated antigen retrieval with sodium citrate buffer (pH 6.0) for 2 minutes. The tissues were blocked in 1% BSA for 20 minutes at room temperature, washed with ddH2O and PBS, and then probed with the primary antibody (HA721115) at 1/8,000 dilution for 1 hour at room temperature. The detection was performed using an HRP conjugated compact polymer system. DAB was used as the chromogen. Tissues were counterstained with hematoxylin and mounted with DPX.


    • Immunofluorescence analysis of paraffin-embedded human tonsil tissue labeling Ki67 with Rabbit anti-Ki67 antibody (<a href="/products/HA721115" style="font-weight: bold;text-decoration: underline;">HA721115</a>) at 1/500 dilution.<br /><br />The section was pre-treated using heat mediated antigen retrieval with Tris-EDTA buffer (pH 9.0) for 20 minutes. The tissues were blocked in 10% negative goat serum for 1 hour at room temperature, washed with PBS, and then probed with the primary antibody (<a href="/products/HA721115" style="font-weight: bold;text-decoration: underline;">HA721115</a>, green) at 1/500 dilution overnight at 4 ℃, washed with PBS. Goat Anti-Rabbit IgG H&L (iFluor&trade; 488, <a href="/products/HA1121" style="font-weight: bold;text-decoration: underline;">HA1121</a>) was used as the secondary antibody at 1/1,000 dilution. Nuclei were counterstained with DAPI (blue).

      Immunofluorescence analysis of paraffin-embedded human tonsil tissue labeling Ki67 with Rabbit anti-Ki67 antibody (HA721115) at 1/500 dilution.

      The section was pre-treated using heat mediated antigen retrieval with Tris-EDTA buffer (pH 9.0) for 20 minutes. The tissues were blocked in 10% negative goat serum for 1 hour at room temperature, washed with PBS, and then probed with the primary antibody (HA721115, green) at 1/500 dilution overnight at 4 ℃, washed with PBS. Goat Anti-Rabbit IgG H&L (iFluor™ 488, HA1121) was used as the secondary antibody at 1/1,000 dilution. Nuclei were counterstained with DAPI (blue).


    • Fluorescence multiplex immunohistochemical analysis of the human gastric cancer (Formalin/PFA-fixed paraffin-embedded sections). Panel A: the merged image of anti-Ki67 (<a href="/products/HA721115" style="font-weight: bold;text-decoration: underline;">HA721115</a>, red), anti-CD31 (<a href="/products/M1511-8" style="font-weight: bold;text-decoration: underline;">M1511-8</a>, green), anti-CD3 (<a href="/products/HA720082" style="font-weight: bold;text-decoration: underline;">HA720082</a>, cyan), anti-panCK (<a href="/products/HA601138" style="font-weight: bold;text-decoration: underline;">HA601138</a>, magenta) and anti-αSMA (<a href="/products/ET1607-53" style="font-weight: bold;text-decoration: underline;">ET1607-53</a>, yellow) on human gastric cancer. Panel B: anti- Ki67 stained on cells in G1, S, G2 and M phases of cell cycle. Panel C: anti-CD31 stained on the endothelial cells. Panel D: anti-CD3 stained on T cells. Panel E: anti-panCK stained on cancer cells. Panel F: anti-αSMA stained on cancer-associated fibroblasts and smooth muscle cells. HRP Conjugated UltraPolymer Goat Polyclonal Antibody HA1119/HA1120 was used as a secondary antibody. The immunostaining was performed with the Sequential Immuno-staining Kit (IRISKit&trade;MH010101, www.luminiris.cn). The section was incubated in five rounds of staining: in the order of <a href="/products/HA721115" style="font-weight: bold;text-decoration: underline;">HA721115</a> (1/2,000 dilution), <a href="/products/M1511-8" style="font-weight: bold;text-decoration: underline;">M1511-8</a> (1/1,000 dilution), <a href="/products/HA720082" style="font-weight: bold;text-decoration: underline;">HA720082</a> (1/500 dilution), <a href="/products/HA601138" style="font-weight: bold;text-decoration: underline;">HA601138</a> (1/3,000 dilution), and <a href="/products/ET1607-53" style="font-weight: bold;text-decoration: underline;">ET1607-53</a> (1/2,000 dilution) for 20 mins at room temperature. Each round was followed by a separate fluorescent tyramide signal amplification system. Heat mediated antigen retrieval with Tris-EDTA buffer (pH 9.0) for 30 mins at 95℃. DAPI (blue) was used as a nuclear counter stain. Image acquisition was performed with Olympus VS200 Slide Scanner.

      Fluorescence multiplex immunohistochemical analysis of the human gastric cancer (Formalin/PFA-fixed paraffin-embedded sections). Panel A: the merged image of anti-Ki67 (HA721115, red), anti-CD31 (M1511-8, green), anti-CD3 (HA720082, cyan), anti-panCK (HA601138, magenta) and anti-αSMA (ET1607-53, yellow) on human gastric cancer. Panel B: anti- Ki67 stained on cells in G1, S, G2 and M phases of cell cycle. Panel C: anti-CD31 stained on the endothelial cells. Panel D: anti-CD3 stained on T cells. Panel E: anti-panCK stained on cancer cells. Panel F: anti-αSMA stained on cancer-associated fibroblasts and smooth muscle cells. HRP Conjugated UltraPolymer Goat Polyclonal Antibody HA1119/HA1120 was used as a secondary antibody. The immunostaining was performed with the Sequential Immuno-staining Kit (IRISKit™MH010101, www.luminiris.cn). The section was incubated in five rounds of staining: in the order of HA721115 (1/2,000 dilution), M1511-8 (1/1,000 dilution), HA720082 (1/500 dilution), HA601138 (1/3,000 dilution), and ET1607-53 (1/2,000 dilution) for 20 mins at room temperature. Each round was followed by a separate fluorescent tyramide signal amplification system. Heat mediated antigen retrieval with Tris-EDTA buffer (pH 9.0) for 30 mins at 95℃. DAPI (blue) was used as a nuclear counter stain. Image acquisition was performed with Olympus VS200 Slide Scanner.


    • Fluorescence multiplex immunohistochemical analysis of mouse lung (Formalin/PFA-fixed paraffin-embedded sections). Panel A: the merged image of anti-TTF1 (<a href="/products/HA720067" style="font-weight: bold;text-decoration: underline;">HA720067</a>, Red), anti-RAGE (<a href="/products/ET1702-27" style="font-weight: bold;text-decoration: underline;">ET1702-27</a>, Green), anti-aSMA (<a href="/products/ET1607-53" style="font-weight: bold;text-decoration: underline;">ET1607-53</a>, Cyan) and anti-Ki67 (<a href="/products/HA721115" style="font-weight: bold;text-decoration: underline;">HA721115</a>, Yellow) on mouse lung. HRP Conjugated UltraPolymer Goat Polyclonal Antibody HA1119/HA1120 was used as a secondary antibody. The immunostaining was performed with the Sequential Immuno-staining Kit (IRISKit&trade;MH010101, www.luminiris.cn). The section was incubated in four rounds of staining: in the order of <a href="/products/HA720067" style="font-weight: bold;text-decoration: underline;">HA720067</a> (1/4,000 dilution), <a href="/products/ET1702-27" style="font-weight: bold;text-decoration: underline;">ET1702-27</a> (1/3,000 dilution), <a href="/products/ET1607-53" style="font-weight: bold;text-decoration: underline;">ET1607-53</a> (1/10,000 dilution) and <a href="/products/HA721115" style="font-weight: bold;text-decoration: underline;">HA721115</a> (1/3,000 dilution) for 20 mins at room temperature. Each round was followed by a separate fluorescent tyramide signal amplification system. Heat mediated antigen retrieval with Tris-EDTA buffer (pH 9.0) for 30 mins at 95℃. DAPI (blue) was used as a nuclear counter stain. Image acquisition was performed with Olympus VS200 Slide Scanner.

      Fluorescence multiplex immunohistochemical analysis of mouse lung (Formalin/PFA-fixed paraffin-embedded sections). Panel A: the merged image of anti-TTF1 (HA720067, Red), anti-RAGE (ET1702-27, Green), anti-aSMA (ET1607-53, Cyan) and anti-Ki67 (HA721115, Yellow) on mouse lung. HRP Conjugated UltraPolymer Goat Polyclonal Antibody HA1119/HA1120 was used as a secondary antibody. The immunostaining was performed with the Sequential Immuno-staining Kit (IRISKit™MH010101, www.luminiris.cn). The section was incubated in four rounds of staining: in the order of HA720067 (1/4,000 dilution), ET1702-27 (1/3,000 dilution), ET1607-53 (1/10,000 dilution) and HA721115 (1/3,000 dilution) for 20 mins at room temperature. Each round was followed by a separate fluorescent tyramide signal amplification system. Heat mediated antigen retrieval with Tris-EDTA buffer (pH 9.0) for 30 mins at 95℃. DAPI (blue) was used as a nuclear counter stain. Image acquisition was performed with Olympus VS200 Slide Scanner.


    • Immunocytochemistry analysis of HeLa cells labeling Ki67 with Rabbit anti-Ki67 antibody (<a href="/products/HA721115" style="font-weight: bold;text-decoration: underline;">HA721115</a>) at 1/100 dilution.<br /><br />Cells were fixed in 100% precooled methanol for 5 minutes at room temperature, then blocked with 1% BSA in 10% negative goat serum for 1 hour at room temperature. Cells were then incubated with Rabbit anti-Ki67 antibody (<a href="/products/HA721115" style="font-weight: bold;text-decoration: underline;">HA721115</a>) at 1/100 dilution in 1% BSA in PBST overnight at 4 ℃. Goat Anti-Rabbit IgG H&L (iFluor&trade; 488, <a href="/products/HA1121" style="font-weight: bold;text-decoration: underline;">HA1121</a>) was used as the secondary antibody at 1/1,000 dilution. PBS instead of the primary antibody was used as the secondary antibody only control. Nuclear DNA was labelled in blue with DAPI.<br /><br />Beta tubulin (<a href="/products/M1305-2" style="font-weight: bold;text-decoration: underline;">M1305-2</a>, red) was stained at 1/100 dilution overnight at +4℃. Goat Anti-Mouse IgG H&L (iFluor&trade; 594, <a href="/products/HA1126" style="font-weight: bold;text-decoration: underline;">HA1126</a>) was used as the secondary antibody at 1/1,000 dilution.

      Immunocytochemistry analysis of HeLa cells labeling Ki67 with Rabbit anti-Ki67 antibody (HA721115) at 1/100 dilution.

      Cells were fixed in 100% precooled methanol for 5 minutes at room temperature, then blocked with 1% BSA in 10% negative goat serum for 1 hour at room temperature. Cells were then incubated with Rabbit anti-Ki67 antibody (HA721115) at 1/100 dilution in 1% BSA in PBST overnight at 4 ℃. Goat Anti-Rabbit IgG H&L (iFluor™ 488, HA1121) was used as the secondary antibody at 1/1,000 dilution. PBS instead of the primary antibody was used as the secondary antibody only control. Nuclear DNA was labelled in blue with DAPI.

      Beta tubulin (M1305-2, red) was stained at 1/100 dilution overnight at +4℃. Goat Anti-Mouse IgG H&L (iFluor™ 594, HA1126) was used as the secondary antibody at 1/1,000 dilution.


    • Immunocytochemistry analysis of HeLa cells labeling Ki67 with Rabbit anti-Ki67 antibody (<a href="/products/HA721115" style="font-weight: bold;text-decoration: underline;">HA721115</a>) at 1/250 dilution.<br /><br />Cells were fixed in 4% paraformaldehyde for 20 minutes at room temperature, permeabilized with 0.1% Triton X-100 in PBS for 5 minutes at room temperature, then blocked with 1% BSA in 10% negative goat serum for 1 hour at room temperature. Cells were then incubated with Rabbit anti-Ki67 antibody (<a href="/products/HA721115" style="font-weight: bold;text-decoration: underline;">HA721115</a>) at 1/250 dilution in 1% BSA in PBST overnight at 4 ℃. Goat Anti-Rabbit IgG H&L (iFluor&trade; 488, <a href="/products/HA1121" style="font-weight: bold;text-decoration: underline;">HA1121</a>) was used as the secondary antibody at 1/1,000 dilution. PBS instead of the primary antibody was used as the secondary antibody only control. Nuclear DNA was labelled in blue with DAPI.<br /><br />p16 (<a href="/products/HA601131" style="font-weight: bold;text-decoration: underline;">HA601131</a>, red) was stained at 1/100 dilution overnight at +4℃. Goat Anti-Mouse IgG H&L (iFluor&trade; 594, <a href="/products/HA1126" style="font-weight: bold;text-decoration: underline;">HA1126</a>) was used as the secondary antibody at 1/1,000 dilution.

      Immunocytochemistry analysis of HeLa cells labeling Ki67 with Rabbit anti-Ki67 antibody (HA721115) at 1/250 dilution.

      Cells were fixed in 4% paraformaldehyde for 20 minutes at room temperature, permeabilized with 0.1% Triton X-100 in PBS for 5 minutes at room temperature, then blocked with 1% BSA in 10% negative goat serum for 1 hour at room temperature. Cells were then incubated with Rabbit anti-Ki67 antibody (HA721115) at 1/250 dilution in 1% BSA in PBST overnight at 4 ℃. Goat Anti-Rabbit IgG H&L (iFluor™ 488, HA1121) was used as the secondary antibody at 1/1,000 dilution. PBS instead of the primary antibody was used as the secondary antibody only control. Nuclear DNA was labelled in blue with DAPI.

      p16 (HA601131, red) was stained at 1/100 dilution overnight at +4℃. Goat Anti-Mouse IgG H&L (iFluor™ 594, HA1126) was used as the secondary antibody at 1/1,000 dilution.


    • Flow cytometric analysis of HeLa cells labeling Ki67.<br /><br />Cells were fixed and permeabilized. Then stained with the primary antibody (<a href="/products/HA721115" style="font-weight: bold;text-decoration: underline;">HA721115</a>, 1μg/mL) (red) compared with Rabbit IgG Isotype Control (green). After incubation of the primary antibody at +4℃ for an hour, the cells were stained with a iFluor&trade; 488 conjugate-Goat anti-Rabbit IgG Secondary antibody (<a href="/products/HA1121" style="font-weight: bold;text-decoration: underline;">HA1121</a>) at 1/1,000 dilution for 30 minutes at +4℃. Unlabelled sample was used as a control (cells without incubation with primary antibody; black).

      Flow cytometric analysis of HeLa cells labeling Ki67.

      Cells were fixed and permeabilized. Then stained with the primary antibody (HA721115, 1μg/mL) (red) compared with Rabbit IgG Isotype Control (green). After incubation of the primary antibody at +4℃ for an hour, the cells were stained with a iFluor™ 488 conjugate-Goat anti-Rabbit IgG Secondary antibody (HA1121) at 1/1,000 dilution for 30 minutes at +4℃. Unlabelled sample was used as a control (cells without incubation with primary antibody; black).


    • Application: IHC-Fr<br /><br />Species: Mouse<br /><br />Site: Spleen <br /><br />Sample: Frozen section<br /><br />Antibody concentration: 1/500<br /><br />Antigen retrieval: The section was pre-treated using heat mediated antigen retrieval with sodium citrate buffer (pH 6.0) for about 2 minutes in microwave oven.

      Application: IHC-Fr

      Species: Mouse

      Site: Spleen

      Sample: Frozen section

      Antibody concentration: 1/500

      Antigen retrieval: The section was pre-treated using heat mediated antigen retrieval with sodium citrate buffer (pH 6.0) for about 2 minutes in microwave oven.


    • Fluorescence multiplex immunohistochemical analysis of mouse lung (Formalin/PFA-fixed paraffin-embedded sections). Panel A: the merged image of anti-Ki67 (<a href="/products/HA721115" style="font-weight: bold;text-decoration: underline;">HA721115</a>, Green) and anti-TTF1 (<a href="/products/HA720067" style="font-weight: bold;text-decoration: underline;">HA720067</a>, Red) on lung. HRP Conjugated UltraPolymer Goat Polyclonal Antibody HA1119/HA1120 was used as a secondary antibody. The immunostaining was performed with the Sequential Immuno-staining Kit (IRISKit&trade;MH010101, www.luminiris.cn). The section was incubated in two rounds of staining: in the order of <a href="/products/HA721115" style="font-weight: bold;text-decoration: underline;">HA721115</a> (1/3,000 dilution) and <a href="/products/HA720067" style="font-weight: bold;text-decoration: underline;">HA720067</a> (1/4,000 dilution) for 20 mins at room temperature. Each round was followed by a separate fluorescent tyramide signal amplification system. Heat mediated antigen retrieval with Tris-EDTA buffer (pH 9.0) for 30 mins at 95℃. DAPI (blue) was used as a nuclear counter stain. Image acquisition was performed with Zeiss Observer 7 Inverted Fluorescence Microscope.

      Fluorescence multiplex immunohistochemical analysis of mouse lung (Formalin/PFA-fixed paraffin-embedded sections). Panel A: the merged image of anti-Ki67 (HA721115, Green) and anti-TTF1 (HA720067, Red) on lung. HRP Conjugated UltraPolymer Goat Polyclonal Antibody HA1119/HA1120 was used as a secondary antibody. The immunostaining was performed with the Sequential Immuno-staining Kit (IRISKit™MH010101, www.luminiris.cn). The section was incubated in two rounds of staining: in the order of HA721115 (1/3,000 dilution) and HA720067 (1/4,000 dilution) for 20 mins at room temperature. Each round was followed by a separate fluorescent tyramide signal amplification system. Heat mediated antigen retrieval with Tris-EDTA buffer (pH 9.0) for 30 mins at 95℃. DAPI (blue) was used as a nuclear counter stain. Image acquisition was performed with Zeiss Observer 7 Inverted Fluorescence Microscope.


    • Fluorescence multiplex immunohistochemical analysis of mouse spleen (Formalin/PFA-fixed paraffin-embedded sections). Panel A: the merged image of anti-PD-L1 (<a href="/products/HA722184" style="font-weight: bold;text-decoration: underline;">HA722184</a>, Green) and anti-Ki67 (<a href="/products/HA721115" style="font-weight: bold;text-decoration: underline;">HA721115</a>, Violet) on spleen. HRP Conjugated UltraPolymer Goat Polyclonal Antibody HA1119/HA1120 was used as a secondary antibody. The immunostaining was performed with the Sequential Immuno-staining Kit (IRISKit&trade;MH010101, www.luminiris.cn). The section was incubated in two rounds of staining: in the order of <a href="/products/HA722184" style="font-weight: bold;text-decoration: underline;">HA722184</a> (1/500 dilution) and <a href="/products/HA721115" style="font-weight: bold;text-decoration: underline;">HA721115</a> (1/2,000 dilution) for 20 mins at room temperature. Each round was followed by a separate fluorescent tyramide signal amplification system. Heat mediated antigen retrieval with Tris-EDTA buffer (pH 9.0) for 30 mins at 95℃. DAPI (blue) was used as a nuclear counter stain. Image acquisition was performed with Olympus VS200 Slide Scanner.

      Fluorescence multiplex immunohistochemical analysis of mouse spleen (Formalin/PFA-fixed paraffin-embedded sections). Panel A: the merged image of anti-PD-L1 (HA722184, Green) and anti-Ki67 (HA721115, Violet) on spleen. HRP Conjugated UltraPolymer Goat Polyclonal Antibody HA1119/HA1120 was used as a secondary antibody. The immunostaining was performed with the Sequential Immuno-staining Kit (IRISKit™MH010101, www.luminiris.cn). The section was incubated in two rounds of staining: in the order of HA722184 (1/500 dilution) and HA721115 (1/2,000 dilution) for 20 mins at room temperature. Each round was followed by a separate fluorescent tyramide signal amplification system. Heat mediated antigen retrieval with Tris-EDTA buffer (pH 9.0) for 30 mins at 95℃. DAPI (blue) was used as a nuclear counter stain. Image acquisition was performed with Olympus VS200 Slide Scanner.


Instruction manual/COA download
说明书/COA下载
Published literature
已发表文献
  • SOAT1 Activates NLRP3 Inflammasome to Promote Cancer-Related Lymphangiogenesis and Metastasis via IL-1β/IL-1R-1 Axis in Oral Squamous Cell Carcinoma

    Author: Chengzhi Zhao, Yuhao Wang, Zhishen Jiang, Shengzhao Guo, Liru Hu, Jian Pan, Fan Dan

    PMID: 40135589

    期刊: Molecular Carcinogenesis

    应用: IF

     

    反应种属: Mouse,Human

     

    发表时间: 2025 Mar

    http://pubmed.ncbi.nlm.nih.gov/40135589/

Copyright © 广州杰特伟生物科技有限公司 All Rights Reserved. 备案号:粤ICP备19077843号

  • 首页
  • 电话
  • 咨询
  • 顶部