HRP Conjugated Alpaca anti-Rabbit IgG Fc, Recombinant VHH monoclonal Antibody
货号:HA1031
一键复制产品信息
价格:
300.00
规格:
100ul
500ul
1ml
10ml
货期:
1-3天
请注意: All products are "FOR RESEARCH USE ONLY AND ARE NOT INTENDED FOR DIAGNOSTIC OR THERAPEUTIC USE"
Details
产品详情
  • HA1031

    概述

    产品名称

    HRP Conjugated Alpaca anti-Rabbit IgG Fc, Recombinant VHH monoclonal Antibody

    抗体类型

    Alpaca Monoclonal Antibody

    免疫原

    Fc region of Rabbit IgG.

    种属反应性

    Rabbit

    验证应用

    IP, ELISA, IHC-P, WB

    偶联

    HRP

    产品特性

    形态

    Liquid

    浓度

    2ug/ul

    存放说明

    Store at +4℃ after thawing. Aliquot store at -20℃. Avoid repeated freeze / thaw cycles.

    存储缓冲液

    1*PBS (pH7.4), 0.5%BSA, 50% Glycerol.

    亚型

    IgG

    纯化方式

    Immunogen affinity purified.

    应用稀释度


    • IP

    • Use at an assay dependent concentration.


    • ELISA

    • 1:5,000-1:20,000


    • IHC-P

    • 1:100-1:500


    • WB

    • 1:50,000-1:100,000

    靶点

    功能

    Higher resolution imaging due to the Alpaca anti-rabbit IgG Fc, recombinant VHHs’ 10 times smaller size than conventional secondary antibodies. The small size enables better tissue penetration, antigen access and decreases the distance between the epitope and label.

    背景文献

    暂无

    图片


    • Western blot analysis of rabbit anti-GAPDH antibody (<a href=

      Western blot analysis of rabbit anti-GAPDH antibody (ET1601-4,1/2000) and rabbit anti-GST3 antibody (ER1802-63, 1/1000) with K562 Cell and A549 Cell lysates (All lanes proteins at 10 µg per lane). Proteins were transferred to a PVDF membrane and blocked with 5% BSA in PBS for 1 hour at room temperature. The primary antibody was used in 5% BSA at room temperature for 2 hours. Alpaca anti-rabbit IgG Fc, recombinant VHH (HRP) (HA1031) was used for 1 hour at room temperature at 1:40,000 (Lane A, E), 1:80,000 (Lane B, F), 1:160,000 (Lane C, G) and 1:320,000 (Lane D, H).

      Exposure time: 30 seconds


    • The Cross-reactions of the secondary antibody (<a href=

      The Cross-reactions of the secondary antibody (HA1031) with Rabbit IgG, Mouse IgG and Human IgG.

      Proteins were transferred to a PVDF membrane and blocked with 5% NFDM/TBST for 1 hour at room temperature. Alpaca anti-Rabbit IgG FC, Recombinant VHH (HRP) (HA1031) was used for 1 hour at room temperature at 1/50,000.

      Lane 1: Rabbit IgG (50 ng/Lane)
      Lane 2: Mouse IgG (50 ng/Lane)
      Lane 3: Human IgG (50 ng/Lane)

      Exposure time: 10 seconds.


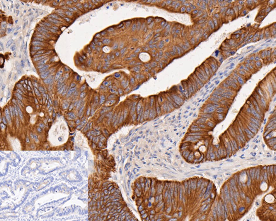
    • Immunohistochemical analysis of paraffin-embedded human Colorectal cancer tissue using rabbit anti-Cytokeratin 18 antibody.<br /><br />The section was pre-treated using heat mediated antigen retrieval with Tris-EDTA buffer (pH 8.0-8.4) for 20 minutes.The tissues were blocked in 5% BSA for 30 minutes at room temperature, washed with ddH<sub>2</sub>O and PBS, and then probed with the primary antibody (<a href=

      Immunohistochemical analysis of paraffin-embedded human Colorectal cancer tissue using rabbit anti-Cytokeratin 18 antibody.

      The section was pre-treated using heat mediated antigen retrieval with Tris-EDTA buffer (pH 8.0-8.4) for 20 minutes.The tissues were blocked in 5% BSA for 30 minutes at room temperature, washed with ddH2O and PBS, and then probed with the primary antibody (ET1603-8, 1/200 dilution) for 30 minutes at room temperature. Alpaca anti-rabbit IgG Fc, recombinant VHH (HRP) (HA1031, 1/200 dilution) was used for 30 min at room temperature. Tissues were counterstained with hematoxylin and mounted with DPX.

      The inset negative control image is secondary-only at 1/200 dilution.


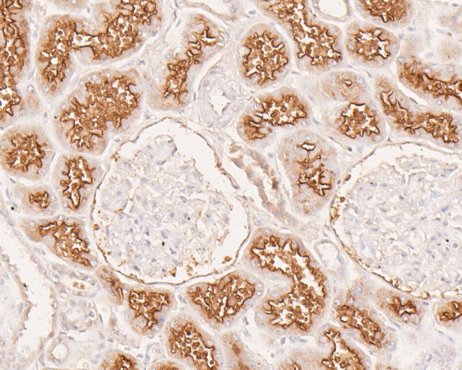
    • Immunohistochemical analysis of paraffin-embedded human Kidney tissue using rabbit anti-CD13 antibody.<br /><br />The section was pre-treated using heat mediated antigen retrieval with Tris-EDTA buffer (pH 8.0-8.4) for 20 minutes.The tissues were blocked in 5% BSA for 30 minutes at room temperature, washed with ddH<sub>2</sub>O and PBS, and then probed with the primary antibody (<a href=

      Immunohistochemical analysis of paraffin-embedded human Kidney tissue using rabbit anti-CD13 antibody.

      The section was pre-treated using heat mediated antigen retrieval with Tris-EDTA buffer (pH 8.0-8.4) for 20 minutes.The tissues were blocked in 5% BSA for 30 minutes at room temperature, washed with ddH2O and PBS, and then probed with the primary antibody (ER1803-45, 1/200) for 30 minutes at room temperature. Alpaca anti-rabbit IgG Fc, recombinant VHH (HRP) (HA1031, 1/200 dilution) was used for 30 min at room temperature. Tissues were counterstained with hematoxylin and mounted with DPX.


Instruction manual/COA download
说明书/COA下载
Published literature
已发表文献
  • Transgenic soybean expressing Cry1Ab-Vip3A fusion protein confers broad-spectrum resistance to lepidopteran pest

    Author: Pan Zhenzhi, Zhu Yanxiang, Lin Chaoyang, Tang Mengzhen, Shen Zhicheng, Zheng Ting

    PMID: 40131492

    期刊: Plant Cell Reports

    应用: WB

     

    反应种属: Soybean

     

    发表时间: 2025 Mar

    http://pubmed.ncbi.nlm.nih.gov/40131492/

Copyright © 广州杰特伟生物科技有限公司 All Rights Reserved. 备案号:粤ICP备19077843号

  • 首页
  • 电话
  • 咨询
  • 顶部